Ήπαρ


Ο Δημήτριος Ε. Γιακουστίδης Χειρουργός, με έδρα τη Θεσσαλονίκη, αναλαμβάνει την αντιμετώπιση των ακόλουθων παθήσεων στο Ήπαρ, με συνέπεια, επαγγελματισμό και ευθύνη προς τον ασθενή.

Επικοινωνήστε άμεσα μαζί του στα τηλέφωνα 2310237911, 6932306133, 2310400337

  • Ηπατοκυτταρικός Καρκίνος (Διάγνωση - Αντιμετώπιση)

    Ο Ηπατοκυτταρικός Καρκίνος (HKK) αποτελεί τον πιο συχνό πρωτοπαθή όγκο του ήπατος και είναι η 6η πιο συχνή κακοήθεις νεοπλασία παγκοσμίως και η 3η αιτία θανάτου από καρκίνο. Παγκοσμίως η συχνότητα εμφάνισης του έχει αυξηθεί.


    Παγκοσμίως η κυριώτερη αιτία ΗΚΚ είναι η χρόνια λοίμωξη με Ηπατίτιδα Β. Η χρόνια λοίμωξη με ηπατίτιδα C είναι η πιο συσχνή αιτία ΗΚΚ στον Δυτικό κόσμο. Η ανάπτυξη Ηπατοκυτταρικού Καρκίνου μπορεί να γίνει χωρίς προηγουμένως να έχει προηγηθεί κίρρωση του Ήπατος. Πάντως σε ένα ποσοστό από 70% εως 90% συνηπάρχει κίρρωσης του ήπατος.


    Προδιαθεσικοί παράγοντες για την ανάπτυξη ηπατοκυτταρικού καρκίνου αποτελούν η προχωρημένη ηλικία, το ανδρικό φύλο, η παχυσαρκία, η υπεροβολική κατανάλωση αλκοόλ, ο σακχαρώδης διαβήτης και το οικογενειακό ιστορικό. Επιπλέον παθήσεις οι οποίες προδιαθέτουν για την ανάπτυξη ΗΚΚ είναι η Μη-Αλκοολική Στεατοηπατίτιδα (NASH), Αιμοχρωμάτωση (Παρουσία αυξημένη ποσότητας Σιδήρου στο ήπαρ) και γενετικέ προδιαθέσεις.


    Οι ασθενείς που βρίσκονται σε υψηλό κίνδυνο απαιτούν συχνή παρακολούθηση. Αυτοί είναι οι κιρρωτικοί ασθενείς με Χρόνια Ηπατίτιδα Β, Χρόνια Ηπατίτιδα C, Χολοστατικά Σύνδρομα, NASH κα. Οι όζοι που εντοπίζωνται στο υπερηχογράφημα και είναι >1cm πρέπει να παρακολουθούνται κάθε 3-6 μήνες. Αν μεγαλώνουν τότε πρέπει να γίνεται διευρεύνηση με πολυφασική Αξονική Τομογραφία ή με Μαγνητική Τομογραφία και χρήση σκιαγραφικού.


    Η ηπατεκτομή αποτελεί την ιδεατή αντιμετώπιση των ασθενών και πρέπει να εφαρμόζεται όπου κρίνεται δυνατό. Προυπόθεση αποτελεί η μη-κιρρωτική διαμόρφωση του ήπατος και η ηπατική επάρκεια μετά την ηπατεκτομή. Επιπλέον δεν πρέπει να υπάρχει σοβαρή πυλαία υπέρταση.


    Η ιδανική θεραπεία του ΗΚΚ είναι η Μεταμόσχευση Ήπατος η οποία αντιμετωπίζει τον Ηπατοκυτταρικό Καρκίνο και συγχρόνως αντιμετοπίζει και την κίρρωση του ήπατος. Δυστυχώς η έλλειψη μοσχεύματων και η χρήση αυστηρών κριτηρίων επιλογής έχει ως αποτέλεσμα τον περιορισμένο αριθμό ασθενών που επωφελούνται.

    Εναλλακτική αντιμετώπιση της ηπατεκτομής και πολλές φορές γέφυρα εως τη μεταμόσχευση, αποτελούν τα διάφορα είδη καυτεριασμών όπως είναι το Radio Frequency Ablation (RFA) ή το Microwave Coagulation ή το NanoKnife. Επιπλέον η Αρτηριακός Χημειοεμβολισμίς του ΗΚΚ (TACE) αποτελλεί επεμβατική πράξη αντιμετώπισης ΗΚΚ που έχουν αντένδειξη ηπατεκτομής ή στη προσπάθεια μας να σμυκρίνουμαι έναν όγκο και να τον καταστήσουμε χειρουργήσιμο ή μεταμοσχεύσημο.


    Η παθοφυσιολογική ιδιαιτερότητα του ηπατοκυτταρικού καρκίνου τον κάνει ιδιαίτερα ανθεκτικό στη χημειοθεραπεία. Εκτεταμένη έρευνα πραγματοποιείται τα τελεύταια χρόνια για την ανακάλυξη στοχεύμενων θεραπειών.


    Η επιλογή της καταλληλότερης θεραπείας και αντιμετώπισης γίνεται με βάση τις κατευθυντήριες οδηγίες των Αμερικάνικών και Ευρωπαϊκών Εταιρειών Μελέτης του Ήπατος (AASLD, EASLD) και με βάση τη σταδιοποίηση και κατηγοριοποίηση των ασθενών αυτών χρησιμοποιώντας διάφορα συστήματα (BCLC, TNM, HKLC).

Διάγνωση

Διάγνωση

Η διάγνωση τίθεται με τη χρήση διαφόρων μεθόδων


⦁ Αιματολογικός και Βιοχημικός

⦁ Καρκινικοί δείκτες (aFP)

⦁ Αξονική Τομογραφία με σκιαγραφικό (Enhanced MDCT)

⦁ Μαγνητική Τομογραφία με σκιαγραφικό (Enhanced MRI)

⦁ Σύνθεση Τομογραφίας Ποζιτρονίων και Αξονικής Τομογραφίας (18-FDG-PET/CT)

Αντιμετώπιση

Είδη Ηπατεκτομών

Ανατομικές ηπατεκτομές

⦁ Δεξιά Ηπατεκτομή (Τμήματα 5 έως 8, SV-SVIII)

⦁ Δεξιά Εκτεταμένη Ηπατεκτομή (Τμήματα 4 εώς 8, SIV-SVIII)

⦁ Δεξιά Πλάγια Ηπατεκτομή (Τμήματα 6 εώς 7, SVI-SVII)

⦁ Αριστρά Πλάγια Ηπατεκτομή (Τμήματα 2 εώς 3, SII-SIII)

⦁ Αριστερά Ηπατεκτομή (Τμήματα 2 εώς 4, SII-SIV)

⦁ Αριστερά Εκτεταμένη Ηπατεκτομή (Τμήματα 2 εώς 5 + 8, SII-SV+SVIII)

⦁ Κεντρική Ηπατεκτομή

Τμηματεκτομές – Εκτομές Μεταστάσεων

Λαπαροσκοπικές Ηπατεκτομές

Ρομποτικές Ηπατεκτομές

Οι εικόνες είναι από προσωπικά χειρουργεία και οι ασθενείς έχουν χορηγήσει τη συγκατάθεση τους.

  • Μεταστάσεις Ήπατος

    Ο ορθοκολικός καρκίνος αποτελεί το 3ο πιο συχνό κακόηθες νεόπλασμα στις Δυτικές κοινωνίες. Ηπατικές μεταστάσεις αναπτύσονται στο 50% των ασθενών αυτών και είναι υπεύθυνες για τα 2/3 των θανάτων. Η μόνη μέθοδος αντιμετώπισης των ασθενών με ορθοκολικό καρκίνο και μεταστάσεις ήπατος, με δυνητική θεραπεία είναι η ηπατεκτομή. Η 5ετής επιβίωση μετά από ηπατεκτομή ποικίλει από 25% μέχρι 60% και είναι σημαντικά μεγαλύτερη από αυτήν στους ασθενείς που δεν δύνανται να υποβληθούν σε ηπατεκτομή που είναι 0% με 5%. Δυστυχώς το μεγαλύτερο ποσοστό των ασθενών με ορθοκολικό καρκίνο και μεταστάσεις ήπατος δεν έχουν ένδειξη ηπατεκτομής. Η στενή συνεργασία των εξιδεικεύμενων χειρουργών ήπατος με τους ογκολόγους έχει σαν αποτέλεσμα την μετατροπή πολλών ανεγχείρητων περιπτώσεων μεταστάσεων ήπατος σε εξαιρέσιμες. Η χρήση νεώτερων σχημάτων χημειοθεραπείας σε συνδυασμό με στοχευμένους παράγοντες έχουν αυξήσει σημαντικά το ποσοστό των ασθενών με δυνητικά χειρουργήσιμη νόσο.


    Τα τελευταία χρόνια με την πρόοδο στις χειρουργικές τεχνικές του ήπατος, την πρόοδο στην αναισθησιολογία, τη χρήση νέας προηγμένης τεχνολογίας διεγχειρητικά (CUSA, προηγμένες μορφές ενέργειας, RFA, διεγχειρητικό υπερηχογράφημα) έχει οδηγήσεις σε αύξηση του ποσοστού των ηπατεκτομών με παράλληλα μείωση των διεγχειρητικών και λοιπών επιπλοκών και σχεδόν μηδενισμού των περιεγχειρητικών θανάτων. Ο προεγχειρητικός Εμβολισμός της Πυλαίας Φλέβας (Portal Vein Embolization) είναι μία τεχνική που χρησιμοποιούμαι εδώ και πολλά χρόνια με αποτέλεσμα την αύξηση των ηπατεκτομών και τη βελτίωση της ασφάλειας των ασθενών.


    Οι ασθενείς με ηπατικές μεταστάσεις από ορθοκολικό καρκίνο χωρίζονται σε τρεις βασικές κατηγορίες.

    • Ασθενείς με εξαιρέσιμη νόσο
    • Ασθενείς με δυνητικά εξαιρέσιμη νόσο
    • Ασθενείς με ανεγχείρητη νόσο

    Σε όλες τις παραπάνω κατηγορίες ασθενών προηγείται Ογκολογικό Συμβούλιο και κατόπιν προτείνεται η καταλληλότερη αντιμετώπιση σύμφωνα πάντα με τις πιο σύγχρονες κατευθυντήριες οδηγίες (Guidelines)


    Ι) Ασθενείς με εξαιρέσιμη νόσο


    Συνίσταται η απευθείας χειρουργική εκτομή (Ηπατεκτομή) ή μικρής διάρκειας προεγχειρητική χημειοθεραπεία (Neo-adjuvant Chemotherapy) προ της ηπατεκτομής. Στις περιπτώσεις που το τμήμα του ήπατος που θα παραμείνει είναι μικρότερο του 25-35% (Future Liver Remnant) γίνεται προεγχειρητικά Εμβολισμός της Πυλαίας Φλέβας


    ΙΙ) Ασθενείς με δυνητικά εξαιρέσιμη νόσο


    Συνίσταται η μακρά και ισχυρή προεγχειρητική χημειοθεραπεία, η επανασταδιοποίηση του ασθενούς και η επιλογή της ηπατεκτομής όταν πλέον η νόσος καταστεί εξαιρέσιμη. Και εδώ στις περιπτώσεις που το τμήμα του ήπατος που θα παραμείνει είναι μικρότερο του 25-35% (Future Liver Remnant) γίνεται προεγχειρητικά Εμβολισμός της Πυλαίας Φλέβας


    ΙΙΙ) Ασθενείς με ανεγχείρητη νόσο


    Οι ασθενείς με ανεγχείρητη νόσο παραπέμπονται για χημειοθεραπεία, στοχευμένες θεραπείες, ακτινοβολία, RFA ή ότι άλλο κριθεί κατάλληλο από το ογκολογικό συμβούλιο. Περιοδικά επανασταδιοποιούνται για αξιολόγηση της κατάστασης του και την τροποποίηση της θεραπείας αν κριθεί αναγκαίο


    Εργαστηριακή και Απεικονιστική διερεύνηση των ασθενών με μεταστάσεις ήπατος από ορθοκολικό καρκίνο. Οι εξετάσεις που γίνονται είναι:


    • Αιματολογικές και Βιοχημικές εξετάσεις
    • Καρκινικοί Δείκτες (CEA, CA 19-9, aFP)
    • Υπερηχοτομογραφία (Κλασική και Διεγχειρητική)
    • Τριφασική Αξονική Τομογραφία (Triphasic MDCT)
    • Μαγνητική Τομογραφία με Γαδολινούχο Σκιαγραφικό (Enhanced MRI)
    • Σύνθεση Τομογραφίας Ποζιτρονίων και Αξονικής Τομογραφίας (18-FDG-PET/CT)
    • Σπινθηρογράφιμα

    Είδη Ηπατεκτομών

    Ανατομικές ηπατεκτομές

    • Δεξιά Ηπατεκτομή (Τμήματα 5 έως 8, SV-SVIII)
    • Δεξιά Εκτεταμένη Ηπατεκτομή (Τμήματα 4 εώς 8, SIV-SVIII)
    • Δεξιά Πλάγια Ηπατεκτομή (Τμήματα 6 εώς 7, SVI-SVII)
    • Αριστερά Πλάγια Ηπατεκτομή (Τμήματα 2 εώς 3, SII-SIII)
    • Αριστερά Ηπατεκτομή (Τμήματα 2 εώς 4, SII-SIV)
    • Αριστερά Εκτεταμένη Ηπατεκτομή (Τμήματα 2 εώς 5 + 8, SII-SV+SVIII)
    • Κεντρική Ηπατεκτομή

    Τμηματεκτομές – Εκτομές Μεταστάσεων

    Λαπαροσκοπικές Ηπατεκτομές

    Ρομποτικές Ηπατεκτομές

  • Καλοήθεις Παθήσεις

    • Εχινόκοκκος κύστη
    • Εστιακή οζώδης υπερπλασία
    • Αδένωμα ήπατος
    • Κυσταδένωμα ήπατος
    • Απλή κύστη
    • Πολυκυστική νόσος
  • Ηπατεκτομές

    Η Ηπατεκτομή αποτελεί μία επέμβαση υψηλού κινδύνου η οποία διενεργείτε από εξειδικευμένους και έμπειρους χειρουργούς ήπατος. Ο ρόλος της χειρουργικής ήπατος στην αντιμετώπιση του καρκίνου έχει αλλάξει σημαντικά τα τελευταία χρόνια με σημαντική μείωση της θνητότητας, της νοσηρότητας που συνοδεύετε από αύξηση της μακροχρόνιας επιβίωσης. Η καλύτερη κατανόηση της ανατομίας του ήπατος, η βελτιωμένη περί-εγχειρητική φροντίδα, η εξέλιξη των αναισθησιολογικών τεχνικών, η εξέλιξη στην απεικόνιση και η χρήση νέων τεχνολογιών έχει ως αποτέλεσμα τη βελτίωση των άμεσων αλλά και απώτερων αποτελεσμάτων. Επιπλέον ή βελτίωση των χειρουργικών τεχνικών είχε ως αποτέλεσμα τη δυνατότητα εκτομής όγκων του ήπατος που στο παρελθόν θεωρούνταν ανεγχείρητα.


    Ηπατεκτομή ορίζεται η χειρουργική αφαίρεση όλου ή μέρους του ήπατος. Η πλήρης αφαίρεση του ήπατος γίνεται στην περίπτωση μεταμόσχευσης ήπατος, όπου αφαιρείτε το πάσχον ήπαρ και αντικαθιστάτε με το υγειές. Πιο συχνή η μερική ηπατεκτομή στην οποία αφαιρείτε ένα μέρος του ήπατος. Μερική Ηπατεκτομή γίνετε για την αντιμετώπιση καλοηθών και κακοήθων βλαβών του ήπατος.


    Καλοήθεις Βλάβες (ενδεικτικά)

    ⦁ Ηπατοκυτταρικό Αδένωμα

    ⦁ Αιμαγγείωμα

    ⦁ Εστιακή Οζώδης Υπερπλασία

    ⦁ Ενδοηπατική Λιθίαση

    ⦁ Παρασιτικές Κύστεις


    Κακοήθεις Βλάβες

    ⦁ Ηπατοκυτταρικός Καρκίνος

    ⦁ Χολλαγγειοκαρκίνωμα (Ενδοηπατικό και της Πύλης)

    ⦁ Μεταστατικές Εστίες

Είδη Ηπατεκτομών


Ανατομικές ηπατεκτομές

⦁ Δεξιά Ηπατεκτομή (Τμήματα 5 έως 8, SV-SVIII)

⦁ Δεξιά Εκτεταμένη Ηπατεκτομή (Τμήματα 4 έως 8, SIV-SVIII)

⦁ Δεξιά Πλάγια Ηπατεκτομή (Τμήματα 6 έως 7, SVI-SVII)

⦁ Αριστρά Πλάγια Ηπατεκτομή (Τμήματα 2 έως 3, SII-SIII)

⦁ Αριστερά Ηπατεκτομή (Τμήματα 2 έως 4, SII-SIV)

⦁ Αριστερά Εκτεταμένη Ηπατεκτομή (Τμήματα 2 έως 5 + 8, SII-SV+SVIII)

⦁ Κεντρική Ηπατεκτομή

Τμηματεκτομές – Εκτομές Μεταστάσεων (Wedge resections)

Λαπαροσκοπικές Ηπατεκτομές

Ρομποτικές Ηπατεκτομές

  • Εχινόκοκκος Κύστη

    Τι είναι η εχινόκοκκος κύστη; Η εχινόκοκκος κύστη είναι μία νόσος που προκαλείται από το παράσιτο Echinococcus granulosus. Το παράσιτο αυτό ζει στο έντερο σκύλων και αποβάλλεται μέσω αυγών από τα κόπρανα τους. Έτσι ο άνθρωπος μπορεί να μολυνθεί αν καταναλώσει τροφές που έχουν μολυνθεί από κόπρανα ζώου ή από την απευθείας επαφή μαζί του. Αφού ο άνθρωπος μολυνθεί, τα αυγά αναπτύσσονται και προσβάλλουν συνήθως το ήπαρ δημιουργώντας κύστεις. Οι άνθρωποι που μολύνονται συνήθως είναι μεγαλύτερης ηλικίας και έχουν άμεση επαφή με σκυλιά.

    Ο Γενικός Χειρουργός Δρ. Γιακουστίδης Δημήτρης έχει μεγάλη χειρουργική εμπειρία σε Επεμβάσεις και Μεταμοσχεύσεις Ήπατος και έχει μετεκπαιδευτεί σε νοσοκομεία της Αγγλίας, της Γερμανίας και του Χονγκ Κονγκ.

    Με ποια συμπτώματα εμφανίζεται; Συνήθως η νόσος είναι ασυμπτωματική. Η κύστη γίνεται αντιληπτή από τον ασθενή όταν μεγαλώσει σε μέγεθος ή σπάσει και δημιουργήσει επιπλοκές.

    Ο ασθενής μπορεί να:


    • νιώθει πόνο στην περιοχή της άνω δεξιάς κοιλίας
    • ψηλαφίζει μια μάζα στην ίδια περιοχή
    • έχει πυρετό ή ίκτερο

    Πως διαγιγνώσκεται η εχινόκοκκος κύστη ήπατος; Η διάγνωση μπορεί να γίνει με:


    • Αιματολογικές εξετάσεις
    • Ακτινογραφία κοιλίας: εντοπίζονται οι επασβεστώσεις που αποτελούν ενδείξεις της νόσου.
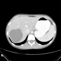
    • Αξονική τομογραφία: μπορεί να εντοπίσει την εχινόκοκκο κύστη καθώς και τη διασπορά της σε άλλες περιοχές του σώματος. Επιπλέον, βοηθάει στο σχεδιασμό της επέμβασης αλλά και της μετέπειτα παρακολούθησης.
    • Υπερηχογράφημα: ενδείκνυται για εξέταση του ήπατος

    Ποια θεραπεία ακολουθείται; Η θεραπεία της νόσου είναι τις περισσότερες φορές η χειρουργική επέμβαση. Κατά τη διάρκεια της, ο Γενικός Χειρουργός χρησιμοποιεί ειδικά διαλύματα για να εξουδετερώσει τα παράσιτα και έπειτα αφαιρεί όλη την κύστη. Αν χρειαστεί, ο ιατρός μπορεί να προχωρήσει σε ηπατεκτομή, αλλά αυτή η περίπτωση είναι αρκετά σπάνια. Η φαρμακευτική αγωγή μπορεί να λαμβάνεται από τον ασθενή πριν και μετά την επέμβαση. Σε περιπτώσεις που οι κύστεις έχουν μικρό μέγεθος και έχουν νεκρωθεί το χειρουργείο μπορεί να αποφευχθεί.

    Εχινόκοκκος κύστη και χειρουργείο Ο ασθενής θα πρέπει να υποβληθεί σε κάποιες προεγχειρητικές εξετάσεις όπως:


    • Εργαστηριακές
    • Ηλεκτροκαρδιογράφημα
    • Ακτινογραφία πνευμόνων

    Είναι επίσης σημαντικό να εξεταστεί σχολαστικά η γενικότερη κατάσταση του ήπατος.

    Ανάλογα με το κάθε περιστατικό, η επέμβαση μπορεί να διαρκέσει 2 με 4 ώρες και πραγματοποιείται είτε ανοιχτά είτε λαπαροσκοπικά.

    Η επέμβαση έχει μεγάλη διάρκεια και απαιτεί έμπειρο Γενικό Χειρουργό, ο οποίος θα έχει την ικανότητα να διαχειριστεί με το σωστό τρόπο την αφαίρεση των εχινόκοκκων κύστεων καθώς η παραμονή υπολείμματος μπορεί να επιφέρει υποτροπή της νόσου. Ο Δρ. Γιακουστίδης Δημήτρης, Αναπληρωτής Καθηγητής Χειρουργικής και Μεταμοσχεύσεων, διατελεί Γενικός Χειρουργός στην Α’ Χειρουργική Κλινική του ΑΠΘ στο νοσοκομείο Παπαγεωργίου και έχει πολυετή εμπειρία στις επεμβάσεις ήπατος.